许多不同的远古传说中都提到过,大脑中间有一个能接收心灵感应意念和视觉信息的腺体。这个只有豌豆大小的松果状腺体,被称为脑上腺或松果体。实际上,“松果体”(pineal)这个词源自拉丁语“pinea”,意思是“松果”。可以说古文明对松果和松果形状情有独钟,它经常出现在各个文明的重要灵性艺术作品中。毕达哥拉斯、柏拉图、杨布利柯、笛卡尔等都写下了对松果体的崇敬之情,它被称为灵魂的宝座。显然,如果这个“第三只眼”能直接从源场接收信息,即便我们对其中的机制并不了解,那也不能说明古人是错的。
严格地说,松果体并不是大脑的一部分,它也不受血脑障壁的保护。它靠近脑组织的中央区域,这片区域是一个充满液体的空腔,能获得仅次于肾脏的血流量。由于没有血脑障壁的保护,经过一段时间后,液体中的矿物质会聚集成结石,也就是“脑砂”,它具有光学和化学特征,类似于牙釉质。这种钙化现象在X光或核磁共振成像(MRI)下看上去和人骨类似。医生凭借这一坚硬的白色钙化物来判断是否患有脑肿瘤。如果这个白点出现在脑的一侧,则可能是脑肿瘤已经扩散了。
正如我发布在网上的《2012之谜》中所描述的,松果体常常(以一种明显备受崇敬的姿态)出现于世界各地的宗教艺术和建筑中。一直没有人对这一奇怪的现象做过细致研究。一篇名为《异教徒钟爱松果的艺术创作》( Pagans Love Pine Cones and Use Them in their Art )的基督教文章列举了很多例子:
一个罗马帝国晚期的青铜雕塑中,希腊酒神狄俄尼索斯(Dionysus)手中拿着一个松果,周围则是一些奇怪的符号。
(插图2)图中如同松果形状的松果体,是大脑中央仅豌豆大小的内分泌腺,许多古文明对它情有独钟。
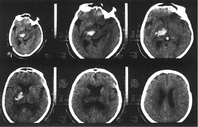
(插图3)X光照片显示左脑室中有个肿瘤。右上方图片中的白点是松果体钙化影,边上的白色区域就是肿瘤的影像。
一个墨西哥神像手上拿着松果和杉树枝。
在意大利都灵博物馆,一件埃及太阳神奥西里斯的权仗上有两条相互缠绕的 “ 昆达利尼蛇 ” ,蛇头面对着权杖顶部的一个松果。
亚述/巴比伦带翼的神像塔模斯(Tammuz)手里也拿着一个松果。
古希腊神狄俄尼索斯(Dionysus)握着的权杖顶部有一个松果,象征着丰收。
罗马酒神巴克斯(Bacchus)也拿着一个带有松果的权杖。
天主教教宗的权杖在手握的地方就是一个松果,从松果中延伸出一个仿树枝的十字架。
许多罗马天主教烛台、教堂用品、神圣饰品和建筑,都有明显的松果元素特征。
世界上最大的松果雕塑显眼地矗立在梵蒂冈广场的松果庭院前。
稍后我们再来讨论这些天主教的例子。在《2012之谜》中,我也指出图坦卡蒙法老的木乃伊金面具上有明显的蛇形标记,或叫做“昆达利尼(kundalini serpent)” 1 ,从头前方大约松果体的位置延伸出来。一些佛祖雕像的眉毛之间经常有一个象征着“第三只眼”的凸起圆形标记。佛祖的头发也是类似松果的形状。几乎所有印度神灵的画像眉间都有朱砂印记,或叫第三只眼。许多印度教徒至今还坚持这样的装扮。印度教神灵湿婆神的发型也是松果形状,并且有条“昆达利尼蛇”缠绕在脖子上。
(插图4)教皇本笃十六世拿着刻着松果的教宗权杖 —— 象征着他能通过松果体与更高智慧交流。
在我发布《2012之谜》后,我发现了一个中美洲魁札尔科亚特尔(Quetzlcoatl)神的雕像,他从蛇的嘴里伸出来,蛇的身子盘绕着,形状像极了松果体。同样,雕像上的魁札尔科亚特尔神的脖子上带着一条项链,这条项链由许多松果体组成。并且,似乎有波状的能量从(松果体)底部流进松果体。魁札尔科亚特尔神的脸在蛇嘴里的样子,看上去就像是戴着头盔的现代宇航员。同样,如果你见过特奥蒂瓦坎(Teotihuacan)的魁札尔科亚特尔神庙照片的话,你可以轻易地发现“羽蛇神”的头边上,雕刻着很多松果。
神圣之石
古文明也用神圣之石来象征松果体。苏美尔人把这个叫做“原始山”(Primitive Mountain),他们相信这是创世之初原始海洋中的第一片陆地。这也许意味着松果体是人体最接近灵魂的地方,能接触到往生后的非物质世界。在巴比伦文明中,这一同样的“山”被用来象征“创世之轴”(axis mundi),也就是世界的转动之轴,并且也是地球的中心“肚脐”。这是神灵来去必经之地,也解释了为什么国王总是要站在山顶上。山上矗立起一座石头用来标记这个最神圣的地方,同时,此地限定了所有的经度、纬度,和罗盘的基本方位。
(插图5)魁札尔科亚特尔雕像。魁札尔科亚特尔神藏在蛇的嘴里,戴着珍贵的松果形状的项链。整个雕像的形状也酷似松果。
在埃及,也有一个相同的神话圣石,代表着世界的中心,埃及人把这个石头称做“奔奔”(Benben),阿图姆王(the King of Atum)站在上面创造了世界。一些奔奔石的造型与松果体极其相似。金字塔的压顶石,以及金字塔本身的造型,也被看作是奔奔石。这显然赋予了美国国玺一种全新的、不可思议的解释。美国国玺上有一个三角形,中间是一只眼睛,位于金字塔的上方。金字塔、奔奔石与第三只眼之间的联系,无可争辩地说明了国玺与松果体之间存在某种象征连接,在第7章中我们将详细讨论这一点。在早期国玺的文献说明中,正面的鸟并不是鹰,而是一只凤凰。
埃及人在画奔奔石的时候,将一只鸟画在奔奔石侧面,这只鸟就是贝努鸟(Bennu bird) 2 。这只鸟有时也被画成隼、鹰、鹭或者黄鹡鸰,这取决于你研究的是哪个学派的埃及文明,然而在希腊传说中贝努鸟就是凤凰。这个神话中的动物经历烈火的煎熬和痛苦的考验,并从灰烬中获得重生。凤凰涅槃无疑将贝努鸟与彻底的精神觉醒和转变联系在了一起。奔奔(Benben)和贝努(Bennu)都是由埃及语的“Bn”音节派生而来,意思是“升天”或“扬升”。在同一历史时期,奔奔石上还画有两条蛇,这似乎与印度教的“昆达利尼蛇”具有同样的意义,表明了能量体盘旋着流入松果体。
(插图6)早期美国国玺的概念图,1776年-1782年。图中的鸟是凤凰的样子,与鹰毫无相似之处。
另一个让人着迷的埃及传说是,人们相信贝努鸟的叫声能开启一个新的时间周期。据说,这是由智慧之神制定的周期,何露斯(Horus)和贝努鸟也因此成了埃及神话中象征时间分隔的神。由贝努鸟的叫声唤起的这个时间周期单位,很有可能就是天文学上的分点岁差:一个约25920年的地轴摆动周期。贝努鸟和25920年的周期之间的联系,很可能暗示了一个古老预言:人类在这个周期末,将会经历如同凤凰涅槃般的大转变(我将在第六章介绍这个转变过程的详细内容)。《埃及亡灵书》介绍了灵性探寻者如何让自己变成一只贝努鸟或凤凰的方法,如果成功的话,结果将会很有意思。
我像远古的神一样飞了起来 …… 我沐浴在众神的荣耀下 …… 一个理解这次纯粹咒语的人,可以在死后回到人间并且能随意转换形态 …… 任何邪恶的事物都无法支配他。
在印度教中,湿婆林伽(the Shiva lingam)的石像也被雕刻成松果体的形状,这和世界中心的传说有关,湿婆用第三只眼喷出神火。我们曾说过松果体位于大脑的中央,是交换心灵感应信息的场所,这个和与神交流没什么不同。别忘了湿婆具有睁开的“第三只眼”,昆达利尼蛇缠绕在他脖子上,他的发型也酷似松果体。
(插图7)古希腊的硬币上刻有鹰(或凤凰),生命之树从翁法洛斯石上生长出来,带翼的天使,金字塔形状的伯特利石以及顶端的压顶石。
在希腊古都特尔斐(Delphi)的神谕处内有一块形状极似松果体、被称为“翁法洛斯石”(Omphalos stone)的石头。据说这块石头是神阿波罗(Apollo)所立,祭司们通过它与神交流并获得预言的能力。一些翁法洛斯石清晰地刻着缠绕的“昆达利尼蛇”。在希腊语中,翁法洛斯(Omphalos)这个词的意思是“世界的中心”或“世界的肚脐”,并且在整个希腊帝国时期,这个区域都被作为主要的地理参照点。
罗马帝国时期也有同样的石头,叫做伯特利(baetyl),腓尼基语叫做Beth-el,这个词显然是Bethlehem(伯利恒)的衍生词,而伯利恒就是基督教的“中流砥柱” —— 耶稣的出生地。伯特利石是祭祀和与神灵交流的工具。大量的希腊和罗马硬币上都有翁法洛斯石或伯特利石的图案,有时周围还有守护的鹰(类似古文明的贝努鸟)或者蛇。一些硬币还刻有“生命之树”(代表着地球之轴心)从石头上或石头边生长出来的图案。
另外一些古罗马硬币上有三角形的伯特利石,这个等腰三角形底边狭窄,两腰很长。看上去像是金字塔和方尖碑的合体,也有点像一美元背后的金字塔,只是更加陡峭。更有意思的是,一些硬币上的三角形被一条水平线隔断,类似金字塔的压顶石。古罗马硬币上一面刻有伯特利石,一面刻有鹰。美国国玺也是同样的设计,一面是金字塔一面是鹰,很显然,这并非巧合。
还有许多古罗马伯利特硬币的反面刻有带翼天使。这种天使的外形很像古巴比伦一位带翼之神塔模斯(Tammuz),他手里捏着一个松果指向前方,仿佛这个松果具有某种神秘的能量。一枚来自叙利亚的古硬币,年代大约在公元前246年-公元前227年,硬币上是阿波罗神坐在形状酷似松果的翁法洛斯石上。另外两枚古希腊硬币上,阿波罗神也是坐在形似松果的翁法洛斯石上。
从这段历史来看,古希腊和古罗马硬币上都广泛使用了翁法洛斯石和伯特利石的造型,那么在梵蒂冈圣彼得广场建造一个大型的青铜松果雕塑,以及在教皇的权杖上雕刻一个松果也就不足为奇了。根据传统的说法,教皇被认为是接受了上帝受膏 3 的信使,必须是松果体“已觉醒”的人才可以担当此职。在《2012之谜》中我所展示的照片来自谷歌的图片搜索结果,你在网上可以搜索到很多教皇拿着松果权杖的照片。
(插图8)古希腊硬币上的阿波罗神坐在翁法洛斯石上,翁法洛斯石的形状很像是松果。
梵蒂冈的大型青铜松果雕像比人还高,四周被很多埃及符号所环绕。这个雕塑确立了梵蒂冈作为罗马天主教世界的中心(甚至是世界轴心)的地位,这也与古老的传统相一致。雕像的基座上有两只雄狮守卫者,而雄狮所坐的地方则刻有奇特的埃及象形文字。雕像两侧各有一只鸟,几乎可以肯定这就是埃及的贝努鸟或凤凰,然而官方一直没有解释为什么会有两只鸟。在松果雕像的后方,隐约可见一个打开的古埃及风格石棺,与大金字塔中的法老石棺很类似。在梵蒂冈的其他地方,我们还可以看到埃及的方尖碑,其顶部刻有基督教符号。
(插图9)从梵蒂冈松果雕像后面看,有一个打开的埃及石棺,现在石棺上盖着一层树脂玻璃,以防止有人躺进里面。
在梵蒂冈文艺复兴观景庭院的北部是松果庭院,这个巨大的青铜松果雕塑就立在松果庭院上。观景庭院南部是教皇庇护七世(Pope Pius VII)的新翼陈列室(Braccio Nuovo)。向东,我们可以看见基亚拉蒙蒂雕塑陈列馆(Chiaromoni Gallery)。北面是教皇英诺森八世观景台,教皇希克图斯五世教廷图书馆位于西面。这个松果雕像由普布利乌斯•秦奇乌斯•萨尔维乌斯(Publius Cincius Salvius)在公元1世纪或2世纪所铸造,他将自己的名字刻在雕塑的底座上。大约在8世纪时,雕塑直接被迁移到古圣彼得大教堂的前庭中央。直到1608年才迁移到目前这个位置。
(插图10)梵蒂冈松果庭院中矗立着一个巨大的松果雕像(右边),以及造型像眼睛一样的“破碎的地球”或叫做“球中球”(sphere within sphere)的铜雕塑(左边)。
显然,早期的神父认为松果是极其重要的象征,所以要将它放置在梵蒂冈最显著的地方。我们也许能在《圣经》( Bible )中找到进一步的线 索 :耶稣说:“眼睛就是身上的灯。你的眼睛若亮了,全身就光明。”(The light of the body is the eye: if therefore thine eye be single thy whole body shall be filled with light.)。在松果庭院的中央,还有一个寓意深刻的雕塑“破碎的地球”或者叫做“球中球”。这个雕塑的主题是两个星球碰撞在一起,从表面下暴露出齿轮和机械装置,看上去像是一个破裂的蛋绽放出绚丽的图像。两个球呈90度嵌套在一起,许多物理模型都暗示过我们要做这样的角旋转 —— 即“正交转轴”(orthogonal rotation),才能进入更高的维度。有趣的是,这个雕塑的造型看上去也像是一只眼睛,与松果表达的含义不谋而合,即松果体或“第三只眼”。
(插图11)近看位于梵蒂冈松果庭院中的这座铜雕塑,它暗示着地球像这个“破碎的蛋”一样,地下暗藏着某种机制。
在伊斯兰传统中也有类似的圣石,安置于穆斯林朝觐圣地麦加(Mecca)禁寺中央的天房(Ka’aba)中。而天房被看作伊斯兰世界的中心,是世界上每一个穆斯林礼拜的地方。这块圣石被银质框架包裹,它的每一寸都被朝圣者所亲吻,从外观上看就像一个竖着的“第三只眼”。天房也许是古代文明对松果体的另一种表达。在爱尔兰也有类似特征的一个可以追溯到公元前200年的“崇拜之石”托咯艾石(Turoe Stone),它看上去和翁法洛斯石、奔奔石、湿婆林伽以及伯特利石一样,表面都刻有象征能量波动的类似火焰的图样。
被记载的传说
从毕达哥拉斯和柏拉图开始,历史上对通向源场之门的松果体的文献记载,可以说毫无隐晦。如神秘学家海伦娜•布拉瓦茨基(Helena Blavatsky)所 说 :
毕达哥拉斯哲学体系的关键是一个通用方程,且不论它是否适用于特定的学科,这个方程是用来统一学科的多样性,可以触类旁通 …… 毕达哥拉斯称之为《数学玄学》( The Science of Numbers )。毕达哥拉斯认为这个理论是神秘学的要素,是“天上的神灵”透露给凡人的信息,那些通晓神力的人则是第三种族的神圣导师。几个世纪以来,人们认为这一理论只是神从奥秘中 “ 挑选的一部分 ” ,由俄耳甫斯(Orpheus)传授给希腊人。
在杨布利柯的著作《毕达哥拉斯的生平》( Life of Pythagoras )一书中,作者反复提到柏拉图认为学习《数学玄学》有益于唤醒脑中的一个被古人描述成“智慧之眼”的部位,这个部位就是当今生理学所称的松果体。柏拉图在《理想国》( The Republic )卷7中写道,“那些经过这些训练的人,他的一个器官将会得到净化、受到启迪,这个器官比一万只眼睛还更重要,因为只有借助它,我们才能看见真理。”
根据多产并富有争议的共济会学者曼利•帕尔默•豪尔(Manly Palmer Hall)的观点,共济会可以追溯到同时期的埃及神秘教。共济会最大的秘密就是通过唤醒松果体,让人获得“重生”,达到神明状态。共济会的33度等级就像是人的33个脊椎,将“昆达里尼之火(拙火)”从底部汇聚到松果体。
人类重生的精密科学是石匠(共济会)遗失的密钥,当灵火通过33度或33段脊椎流入颅腔内,最终进入脑垂体(伊西斯),在那里呼喊神圣之名,唤醒“拉”(Ra) —— 松果体。 “ 执行工匠 ” (Operative Masonry),这个术语的真实意义其实是指打开荷鲁斯之眼(the Eye of Horus)的过程。
E.A.沃利斯 • 巴基(E.A.Wallis Budge)注意到,一些古文献手抄本阐释了人死后灵魂进入奥西里斯的审判大厅的过程,所有往生的人头顶都有一个松果。希腊神秘主义者的象征性权杖 —— 酒神巴克斯权杖的顶端也有一个松果 …… 在人的脑中有一个微小的腺体叫做松果体,它被看作是远古的神圣之眼,就像库克罗普斯独眼巨人(Cyclops)的第三只眼。松果体的功能依然鲜为人知,笛卡尔曾说过(真相比他知道的更深奥),松果体也许是人类灵魂的居所。就像它的名字一样,松果体是人体内神圣的松果,唯一的神圣之眼,要想开启这个第三只眼,唯有让“灵火”(CHiram)从脉轮(在亚洲也叫七轮)中升起。
豪尔在另一本书中更深入地介绍了共济会的这个秘密,那本书叫《超自然人体剖析》( The Occult Anatomy of Man )。
印度教告诫人们松果体是第三只眼,也叫做邓玛之眼(the Eye of Dangma)。佛教称之为全视之眼(the all-seeing eye),基督教的说法是专注之眼(the eye single) 4 。松果体被认为会分泌一种被称为松脂的油脂,松脂是松树的生命之物,这个词“松脂”认为和玫瑰十字会 5 的起源有莫大的关系,玫瑰十字会一直在研究松果体的分泌物,寻找打开第三只眼的方法。圣经中这样写道: “ 眼睛就是身上的灯。你的眼睛若亮了,全身就光明 ……”
松果体是个灵性器官,最终将发挥它原有的作用 —— 连接人类和神灵的桥梁。松果体末端上振动的指状物就是耶西(圣经人物,大卫王的父亲)之根和大祭司的权杖。东西方神秘学和玄学都有一些教导人们让这个小小的指状物产生振动的实践方法,这种练习会在大脑中产生嗡嗡的蜂鸣声,这通常会让人非常难受,特别是对于那些不了解这种体验的人来说。
貌似共济会和其他秘密社团也会把“觉醒”的松果体比作为哲人之石(Philosopher's Stone)。曼利•帕尔默•豪尔的描述只是众多明显迹象中的一个,看看以下的文章片段。
哲人之石象征着完美与长生不老的人,圣贤之人已发出神性之光 …… 就像钻石在除碳加工前也是暗淡无光、毫无生机一样,当人类的灵性本质处于“堕落”状态时,其内在之光也是黯淡隐晦的。掌控哲人之石的人,也就拥有了真理。他将拥有难以计数的财富,他将永生不朽,同时,他也治愈了最难医治的疾病:无知。
秘传神秘教会学者鲁道夫•史代纳(Rudolf Steiner),证实了装有“生命之水”或“长生不老之水”的圣杯传说,其实是另一种关于松果体的传说。在历史上众多的插画中,圣杯的形象看上去都是一个倒置的松果体。最近一本划时代的著作《圣杯之谜》( The Mysteries of the Holy Grail )详细介绍了圣杯传说与松果体之间的关系。
我们每个人身上都有圣杯,它就在我们城堡般的头中,它能提升我们的微妙感知,并最大程度消除物质的影响。圣杯在这里就是指脑中的松果体 ……
关于“宇宙蛋”、“世界蛋”,特别是“俄耳甫斯神秘蛋”(Orphic Egg) 6 的传说,似乎也在暗指松果体。俄耳甫斯神秘蛋被描绘成被蛇盘绕着的银蛋,而蛋的造型类似于松果体。曼利•帕尔默•豪尔再一次洞察到这个远古标志的含义,暗示俄耳甫斯神秘蛋与松果体之间的关联,你在他的另一篇文章中也可以看出这种暗示。
俄耳甫斯神秘主义的远古标志是一个被蛇盘绕的蛋,象征着宇宙被炽焰般的创造之灵所环绕。这个蛋也同样象征着哲人之魂,而蛇象征着神秘。在创世之时,蛋壳破裂后,通过哲人之魂重生的萌芽时期,人开始显现出物理存在的雏形。
豪尔还认为独角兽也是一个与“觉醒的”松果体有关的神秘象征。
独角兽的独角也许象征松果体,或第三只眼,是大脑心灵认知的中心。独角兽被看作是神秘的符号,是受到启示的初始灵性的象征 ……
根据《斯坦福哲学百科全书》 ( Stanford Encyclopedia of Philosophy ) ,笛卡尔相信人是由两个部分组成:肉体和灵魂,而松果体则是这两部分的连接点。笛卡尔认为,松果体“涉及到感知、想象力、记忆以及身体律动。”尽管笛卡尔对大脑的理解和现代医学不一致,但他的这些想法都是直接源自远古密教。
灵魂控制身体作用的部位根本不是心,也不是整个大脑。而是大脑中最深层的部位,它是大脑正中央的一个很小的腺体 …… 松果体的表面能呈现(来自灵魂的)感官刺激的低压图像。
笛卡尔关于可视图像出现在松果体表面的观点,其准确性可能远超我们大部分人的想象,我们即将会发现这一点。这也表明,这个概念极有可能不是他自创的,而是受到某种委托将这一远古秘密(结合自己的观点和理解)“泄露”出来。
《凯西解读》( The Edgar Cayce Readings )中也多处提到了松果体,并且也认为松果体确实是大脑脑干中的一只真正的“眼”,也是灵魂与肉体相连接的定位点。
医学上关于 “ 第三只眼 ” 的研究
根据理查德•考克斯(Richard Cox)在《南加州大学医学与健康杂志》( USC’s Health & Medicine journal )上的说法,“笛卡尔认为出体体验和松果体之间存在紧密联系。”考克斯列举了多个关于松果体的有趣例子。
实际上,在蜥蜴头骨中有个具有感光功能的 “ 第三只眼 ” ,在演化过程中,这个第三只眼同被头骨掩盖、分泌荷尔蒙的人类松果体很相似。人类的松果体虽然已经不能直接感受光源,但像蜥蜴的 “ 第三只眼 ” 一样,在夜晚会更多地分泌荷尔蒙和褪黑激素 …… 通过解剖爬行动物的松果体,可以看到它确实像一只眼睛,形状和组织结构都很类似。松果体是褪黑激素循环的主要来源,这告诉我们,当你晚上睡觉时,当你早上起床时 …… 光线的存在会降低褪黑激素的分泌,黑暗则能刺激分泌。由于光亮和黑暗能够影响腺体分泌荷尔蒙,所以松果体可以被看作是人体内的一个生物钟。
爬行动物的松果体和一般眼睛的形状和组织都很类似,恰巧古人又确切地相信松果体是人体的“第三只眼”,也具有类似的生理功能,这种巧合着实很令人费解。我越深入研究这个课题,就发现越多证明古人很可能早已知道某些遗失秘密的线索和证据。一篇由茱莉•安•米勒(Julie Ann Miller)发表在《科学通讯》( Science News )的文章,透露了松果体与眼睛视网膜之间的生物学联系。
视网膜和松果体都是能识别和精密处理外部光源的重要器官。直到最近,这两个对于哺乳动物而言毫无共同之处的器官,一直都是被不同的科学家们独立分开研究。但是一个新的联合研究者团队发现了这两个领域惊人的相似性,并加快了这两个领域的研究进展 …… 一旦这两个领域的科学家们开始并肩研究,必将会发现这两个器官之间那令人惊讶的共同点。
大卫•克莱因(David Klein)博士在《科学日报》( Science Daily )上的一篇专题文章令人感到很吃惊。大卫•克莱因是美国儿童健康与人类发展研究所(National Institute of Child Health and Human Development)神经内分泌科首席科学家。他认为,许多次哺乳动物的“第三只眼”松果体也能感受到光照。
克莱因博士指出,视网膜的感光细胞与松果体细胞很相似,许多次哺乳动物(例如鱼、青蛙和鸟等)的松果体细胞也能感受光照。
更惊奇的猜想刊登在1986年《实验眼研究》( Experimental Eye Research )专业杂志上,出自AF•魏克曼(AF Weichmann)的一篇文章。
很显然,松果体和视网膜之间有着千丝万缕的联系。多年来两者在发育和形态上的相似点已经很明显了。这也重新掀起了人们对这个领域的兴趣,并加深了对这两个器官功能相似点的新认识 …… 虽然哺乳动物的松果体被认为只具有间接感光性,但松果体中的蛋白质在视网膜中是负责传导光感的,这极大地增加了哺乳动物松果体也具有感光功能的可能性。这种可能性还有待进一步研究。
魏克曼公开大胆地猜测:在松果体中存在“直接感光效应”。根据松果体和眼睛中视网膜的相似性,松果体细胞可能也能直接感测到光子并把这种信号发送回大脑,这个过程叫做光传导。
R.N.罗莱(R.N.Lolley)和他的同事也指出了视网膜与松果体之间光感活动的相似性,并发表在同行评审杂志《神经化学研究》( Neurochemical Research )上。近期在视网膜如何工作的研究上取得了突破性的进展,同时也让视网膜与松果体之间的关系变得越加明显。
随着我们越来越了解视网膜感光细胞的光传导机制,我们可以看到,显然松果体细胞也具有相同的机制 …… 一组特定的视网膜蛋白质承担着级联光传导的功能。我们还不清楚松果体细胞如何利用这些蛋白质,以及这些蛋白质在松果体中是否参与传导信号 …… 松果体细胞和视网膜感光器似乎具有相似的工作内容 ……
没有人能证明松果体内部是完全的漆黑一片。微量的光子可能通过某种未知的机制显现,正如笛卡尔之前所猜想的。松果体仿佛是被专门设计用来“传导信号”,就像视网膜一样,它能接收视觉影像并传送给大脑。另一组科学家针对鸡的松果体进行了研究,同样也推测“松果体可能含有一个级联的柱状光传导机制”。
压电发光
为什么人体要这么麻烦再去制造一个“第三只眼”?我们已经有了一个具有感光机制的视网膜,况且用“第三只眼”我们也没“看”到什么。当我们做梦时、当我们有出体体验时或者某个想法一闪而过时,我们“看到”的到底是什么?为什么远古文明都对这个腺体如此着迷,还把它看作是超自然视觉的聚集点。2002年,《生物电磁学》( Bioelectromagnetics )杂志发表了S.S.巴科尼耶(S.S.Baconnier)及其同事的一篇研究文章,该文章也许为我们找到了答案,但作者似乎没有意识到这点。巴科尼耶他们解剖了来自20个不同人的松果体,发现样本中每立方毫米分布了100至300个“微晶体”,这种“微晶体”主要由一种叫做方解石的矿物质组成。每个结晶体约2至20微米长,多呈六边形,与另一种在内耳发现的结晶体“耳砂”很类似。耳砂也叫做“压电晶体”,当你对它挤压或拉伸时,它的两端就会产生不同的电荷,形成电磁场。当耳膜接收到周围的振动时会产生共鸣,此时耳砂也会碰撞内耳绒毛细胞,从而感觉到声音。
压电晶体可以用来在没有供电的情况下调谐无线电台。环绕在我们周围的电磁波振动能够使压电晶体扩张或收缩。而这种伸缩运动可以用来检测和放大声音。麦克风内也有压电晶体,用来接收声音振动继而转换成电流。压电晶体还会发出一些强弱不等的光,这一作用被称作“压电发光”。这就是便携式打火机的工作原理,只要你按按钮,内部的压电晶体受到了挤压,就会闪出一道光。通过“压电变色”的效应,一些压电晶体在接收到信号后还会释放出不同颜色的光子。目前为止,这些压电变色现象还只能在高压下的晶体上出现。根据英国皇家化学学会的说法,“压电变色早在一些系统上就被观测到,但至今仍未做任何形式的商业开发。”
巴科尼耶的方解石晶体可能并不是松果体中唯一的潜在光源。一些科学家,比如里克•斯特拉斯曼(Rick Strassman)博士认为,松果体还会分泌一种精神类化学物质,叫做DMT 7 —— 尽管还没有被完全证实,因为它分解得太快了。正如我们将会看到的,DMT也能通过压电发光效应来发光。劳伦斯•约翰斯顿(Laurance Johnston)博士在文章中也表达了松果体能产生DMT这个富有争议的想法。DMT类似于褪黑激素和血清素,这两种化学物都是在松果体中自然合成的。
DMT在结构上与褪黑激素很类似。在生物化学上这两种分子的前体物质都是血清素,它是控制情绪的关键神经递质,专门用于治疗精神疾病。DMT在结构上还与其他迷幻药类似,例如LSD 8 和裸头草碱,以及从发酵后的死藤水中提取出来的活性剂,亚马逊巫医常用它来诱发出体体验。
在人体中也发现了DMT,尤其是在肺部,大脑中也有。斯特拉斯曼强调松果体在理论上比其它组织更适合制造DMT,因为其处理生化前体物质和转化酶这些先决条件上的优势。但是我们并不能确定DMT是由松果体制造的。
DMT极有可能就是曼利•帕尔默•豪尔所说的密教一直苦苦寻找的“树脂”。不管怎样,我可不是在倡导服用迷幻类药物,那样做很危险并令人感到不适。我早已经掌握了更加自然、安全、且积极有效的方法来达到和服用药物类似的精神体验。不过,我很惊讶地了解到尼克•桑(Nick Sand)(曼哈顿工程中一位德高望重的科学家的儿子)发现DMT不仅具有强烈的压电发光特性,还具有显著的压电变色效应,能够“发射颜色”。
桑是记载中第一个合成DMT的地下化学家。桑和他的一个同僚是第一个宣布DMT能表现出压电发光现象的人:当硬化的DMT放在托盘里,再用锤子或螺丝刀把它们敲碎时,会发散出大量色彩斑斓的光。
由于松果体不受血脑障壁的保护,所以含有DMT的血流让松果体装载了压电晶体。这可能进而导致“第三只眼”吸入更多的光子,这些光子很可能通过某种我们尚未发现的机制直接从源场中产生。巴科尼耶富有开创性的松果体研究,为“第三只眼”确实可以“看到”光子这一推测,打下了坚实的基础。
如果松果体的微晶体中确实存在压电现象,那么能与外部电磁场发生作用的机电耦合机制也许是可能存在的。
由于这些晶体的结构和压电属性,它们可能是导致松果体内具有机电生物传导机制的原因。
正是因为这个原因,巴科尼耶表达了对使用手机和其他微波辐射设备的担忧,这些设备可能会与松果体内的压电晶体产生耦合,并改变它们原本的功能。这将扰乱合成褪黑激素,导致对健康的负面影响。
松果体钙化对健康的影响
对松果体的研究越深入,我们越能理解它对人体健康的重要性。
直到最近,松果体还被看作是大脑的附属物,被看作是一个已经退化的无功用的器官。然而,科学家发现松果体能产生一种对我们影响巨大的荷尔蒙 —— 褪黑激素。松果体能将叫做色氨基酸的氨基酸转化成血清素(一种神经递质),反过来则把血清素转换成褪黑激素。褪黑激素随着血液和脑脊髓液一起输送到全身。褪黑激素的分泌可以调节我们的昼夜节律 …… 研究人员竟然发现,在靠近松果体的部位存在着磁铁簇。就像是信鸽一样,人类也具有地磁定向能力,但这一能力随着松果体的功能出现障碍已经退化 ……
由于腺体会积累氟化物,它包含了人体内最高浓度的氟化物。研究表明,氟化物积聚会抑制褪黑激素的合成,并引起不良的后果,如加速青春期发育提前完成 ……
因为松果体功能障碍转而影响褪黑激素的分泌,褪黑激素的降低与多发性硬化症状有关,所以松果体衰弱是多发性硬化的先兆。正如纽约的鲁文 • 珊蒂克(Reuven Sandyk)博士阐述的,“松果体功能障碍可以解释与多发性硬化相关的一系列生物现象,因此可以推测松果体和这种疾病之前应该存在关键联系 …… ”珊蒂克建议,应该在多发性硬化症状的程度与松果体衰弱程度之间建立对比 ……
显然,多发性硬化与松果体钙化有关。例如,一项研究表明,在连续入院的多样性硬化患者中,100%同时也患有松果体硬化,其他同年龄段患有脑神经失调疾病的对照组中,仅有43%的个体出现松果体硬化。此外,在多样性硬化发生率较低的人群(美国黑人、日本人等)中,松果体硬化的发生率也同样较低。
自来水和市场上出售的牙膏中通常含有氟化物,它对你的松果体健康很不利。氟化物随着血液直接流入松果体,并附着在松果体内的微晶体表面,久而久之会使松果体钙化,在X光照片中看就是一个白色的、类似骨头的块状物。这会破坏松果体合成人们所需化合物的能力。
氟化物会影响色氨酸合成褪黑激素的酶转化过程 …… 氟化物还会影响褪黑激素前体(如血清素)的合成,或者其它松果体合成物(如5-甲氧色胺) …… 综上所述,松果体内含有人体中最高浓度的氟化物 …… 氟化物是否妨碍松果体功能还需要进一步研究。
由于松果体内充斥着“脑砂”或(比如由氟化物造成的)钙化物,你可能会失去分泌褪黑激素的能力,这可不是好现象。《松果体研究杂志》( Journal of Pineal Research )的一项研究显示了松果体钙化和功能障碍带来的影响,包括抑郁症、焦虑症、饮食失调、精神分裂症以及其它精神类疾病。
总体来说,这些研究表明褪黑激素显然和记忆、认识调节,以及情绪处理有关 …… 这些调查结果强调了褪黑激素在意识、记忆、应激机制上的具体作用。并且褪黑激素的变化与精神病理学的研究结果相一致,主要表现在抑郁症、精神分裂症、焦虑症、饮食失调以及其它精神疾病上 ……
例如,一些研究报告指出,抑郁症患者的褪黑激素水平有所下降 …… 在精神分裂症患者中,褪黑激素也有显著的改变,这表明一部分精神分裂症患者的病理是由于褪黑激素的分泌减少 …… 在已知的各种精神疾病中都发现了褪黑激素分泌有明显的改变 ……
1995年,我发现像快乐这种情绪并不是自动发生的,而是可控的,受到脑内化学物质的控制。如果你大脑内没有足够多的血清素,即使在生活中有很多让你感到愉悦的事情,你也没有化学能力去“合成”快乐的感受。在我为写这本书着手研究之前,我对松果体合成血清素的重要性以及如何产生快乐的感觉也是一无所知。
药理学教授尼古拉斯 • 迦敏(Nicholas Giarmin)和精神病学教授丹尼尔 • 弗里德曼(Daniel Freedman),确认了人体会在大脑的多个部位制造血清素。例如,他们发现在丘脑部位,每克组织内含有61毫微克的血清素;海马体部位为56毫微克;中脑中央灰质区域为482毫微克。但是在松果体内,他们发现每克组织内的血清素含量高达3140毫微克。很明显,松果体是大脑中血清素最丰富的部位!这一发现说明了松果体是血清素产生和活动的最重要的部位。
同样地,这批科学家还发现,松果体血清素浓度与精神疾病之间有更多的关联性。
我们发现了松果体内高血清素浓度与某些精神疾病之间令人惊讶的关联性! …… 一个正常人松果体内每克组织中平均含有3.14至3.52微克的血清素。而一个精神分裂症患者的松果体内则含有10微克的血清素,约是正常人的3倍。而另一个震颤性谵妄症患者的松果体内更是含有高达22.82微克的血清素,几乎是正常人的近10倍!
这项研究证明了松果体血清素浓度与一些震颤症(例如迟发性运动障碍、帕金森综合症以及癫痫症)之间的直接关系。他们发现,一些研究表明“没有松果体钙化的病人与松果体钙化严重的病人之间,肌张力运动障碍(震颤)的严重度有着显著的差异。”
许多健康专家也开始讨论人体钙化所带来的问题。最糟糕的情况可能就是引起痛风,你的脚可能会钙化,而当钙化晶体“破碎”时你会感到异常疼痛。清除钙化最关键的是注意饮食习惯。如果经常饮用大量的纯净水,就能让肝脏和肾脏冲刷掉这些毒素。尽量吃新鲜的有机天然食品,不要吃含农药或防腐剂的食品,那些食品会让你的身体变成一个大矿场。
普莱斯(Price)博士发现许多传统的、未受现代文明干扰的文明,由于当地的饮食习惯,他们的骨密度都很高。他们虽然不刷牙,但是牙齿仍然整齐漂亮,并且不需要做矫正,甚至都少有蛀牙。一旦将西方的加工食品(例如白砂糖、精白面粉、非有机乳制品以及饲养肉类)引入到他们的饮食体系中后,他们的牙齿会变得不整齐并且头脑也开始萎缩。幸运的是,只要再回到过去纯净和自然的饮食习惯,继续食用传统食物(包括有机畜牧食品)的话,就能缓解和反转这一问题,并且还能令松果体反钙化。
普莱斯博士发现,在那些传统食品中含有一种关键元素,叫做“活化剂X”的化合物,它更为令人熟知的名字叫维生素K2。如果你是素食主义者,你可以食用有机乳脂肪(butter oil),这种乳脂肪只能从用新鲜有机的自然草料饲养的牛身上得到。肉食者可以食用发酵过的鳕鱼鱼肝油或银鲛鱼肝油,效果更好。普莱斯还推荐海陆结合 —— 同时摄取乳脂肪和发酵过的鱼肝油,这样会有更好的效果。“活化剂X”还可以在有机饲养的鸡蛋和肉类产品中找到。普莱斯博士在他的《营养与身体衰老》( Nutrition and Physical Degeneration )一书中展现了一些富有争议的照 片 :人们在饮食中增加摄入“活化剂X”后,他们的蛀牙开始好转并重新长出了牙釉质。动脉斑块,这个心脏病发作和中风的主要杀手,也可以被清除,而松果体钙化程度降低后,其功能也会有明显的提升。
纵观本章之前的信息,我们发现有一条更能激发研究兴趣的途径。我要清楚地说明,我不是要把源场变成一个抽象的、形而上学的概念。我同意很多俄罗斯科学家的推断,即源场是可以被直接测量的,如同重力内的旋转能流。很明显,你越是屏蔽电磁能量场,你对来自源场的信息就越敏感 —— 这些信息很可能正是通过松果体被我们接收,就像远古传统所暗示的。
鉴于前三章我们调查的所有信息,现在我们必须要问一个显而易见的问题:什么是意识?心智从哪里接收到指令?这种指令来自自我的另外一种层面,并通过一隐藏的、持续的、被催眠暗示的形式被接收吗?思想是在大脑中产生,然后制造了能在源场中传播的能量波?或者,我们一直在利用源场进行思考,甚至还和其他所有人共享一个集体心智?
1 译者注:Kundalini是梵文,也译作“灵量”,即灵性能量之意,本义是卷曲,在印度的古籍中,这个字指在人体脊柱底部,卷曲成三圈半的能量。随着佛经传入,有关灵量的知识也传入中国,当时按音译为“军荼利”、后亦有译作“昆达利尼”、“灵蛇”、“拙火”、“灵能”等。
2 译者注:贝努鸟即太阳鸟、不死鸟,当贝努鸟被译成希腊语后,意思变成了凤凰。
3 译者 注 :受膏,宗教术语,以油或香油抹在受膏者的头上,使他接受某个职位的意思。就好像旧约里的君王、祭司及先知,都是用橄榄油来抹在他们的头上,使他们受膏接受神所给他们的职位。
4 译者注:single eye这个短语出自马太福音6∶22,国内中文圣经大概是翻译自修订版本的英文圣经,没有把single的含义解释出来,仅翻译成眼睛,可以查看其它版本的英文圣经。single eye表达的意思有:1.对上帝至高的爱;2.对他无私的爱;3.一种完全献身于神圣的状态。很明显,大卫要表达的是第3种意思,借助松果体达到出神状态。
5 译者注:玫瑰十字会,十七世纪初在德国创立的一个秘密会社。自称拥有自古代传下的神秘宇宙知识;折衷采纳神秘主义、哲学和科学的观点,提出借“神秘智能”改造世界的主张;普遍认为神弥漫于宇宙万物之中,人只要一旦意识到神就存在于自己之内,而他作为一个宇宙的缩影,就能够主宰宇宙的力量。
6 译者注:也有一些神秘学书籍译作奥普斯蛋。
7 译者 注 :DMT(dimethyltryptamine,二甲基色胺)是第一类精神药品,色胺类致幻剂,药性强。结构上与神经递质血清素和其他色胺类致幻剂5-甲氧基二甲基色胺、蟾毒色胺、脱磷酸裸盖菇素类似。
8 译者注:LSD(lysergic acid diethylamide,麦角酸二乙基酰胺)是一种麻醉药,是已知药力最强的迷幻剂,极易为人体所吸收。